
Experience The Future Of Dentistry With All-on-X Implants
Millions of people around the world have lost a tooth at some point in their adult lives. In recent years, we have witnessed a revolution in the tooth replacement industry that has made it easier than ever before to restore your full set of teeth. Thanks to modern dentistry, you no longer have to live with the stigma of missing teeth.
If you’re looking for the most natural-looking and acting solution for lost teeth, dental implants are the ideal choice. The standard implant procedure is not always a viable option for every patient. In these instances, the all-on-x implant procedure can provide the patient with the results they seek.
What Are All-on-X Implants?
Have you ever considered getting a new set of teeth in just one day? With All-on-X dental implants, this is possible. You can arrive at the clinic with your current smile and leave with a brand-new one on the same day. This innovative procedure uses only four dental implants to achieve what previously required double the number of implants. This minimally invasive technique supports a full arch of fixed replacement teeth using dental implants.
By angling the implants strategically rather than placing them straight into the jawbone, more of the bone is utilized, providing a stronger foundation for your new teeth. Unlike traditional dentures, All-on-X prosthetics look remarkably like natural teeth. At Nederland Family Dental, our dental implants are meticulously crafted from high-quality materials and designed with precision to create realistic-looking tooth replacements. Dr. Gomez and the team ensure that each implant is tailored to provide a natural and comfortable fit.
Discover More About All-on-X Procedures
Millions of people around the world have lost a tooth at some point in their adult lives. In recent years, we have witnessed a revolution in the tooth replacement industry that has made it easier than ever before to restore your full set of teeth. Thanks to modern dentistry, you no longer have to live with the stigma of missing teeth.

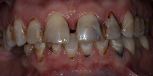
Before

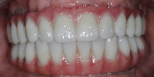
After
Steps for Getting All-on-X Implants
Consultation: The process begins with a consultation with Dr. Gomez to discuss your needs and evaluate your existing teeth and bone structure to support future implants.
Surgery Day: Implant posts are placed into the bone and covered by the gums. An immediate bridge is then placed, allowing you to leave with a new smile while the implants heal. This bridge helps test function and aesthetics.
Post-Procedure Check-Ups: Follow-up appointments are scheduled at no additional cost to monitor healing. During this period, your smile will be evaluated in preparation for creating new teeth. The overall face, lip support, and teeth are considered to ensure a natural-looking smile.
Permanent Bridge: After sufficient healing, a permanent, stronger implant bridge is crafted and secured in place. This bridge does not need to be removed and is designed with careful attention to aesthetics to provide the desired smile.

Discover the Benefits of the All-on-X Procedure
- Permanent Solution: New implant teeth do not need to be removed.
- No Adhesives: Eliminates the need for denture adhesives.
- Comfort: Prevents gagging and sores from loose dentures and painful chewing.
- Minimally Invasive: The procedure is less invasive compared to other methods.
- Diet Freedom: Allows you to eat all your favorite foods.
- Cost-Effective: More affordable than getting multiple single implants.
- Boosts Confidence: Enhances self-esteem and confidence.
- Life-Changing: Significantly improves quality of life.
- Better Taste: Your food will taste better!
Dental implants are highly effective in replacing missing teeth, giving you a new smile that feels just like natural teeth. They can replace one, several, or even a full set of teeth. This treatment is particularly beneficial for stabilizing dentures with just two implants, as well as replacing one or more teeth compared to traditional bridges. Additionally, dental implants can create brand-new full arch smiles.
With dental implants, you no longer need to worry about dental decay, as they are designed to last a lifetime with proper care and regular dental visits. Enhancing your smile, comfort, social interactions, and confidence in eating and speaking are just a few reasons to contact Nederland Family Dental and schedule a no-obligation consultation. Dr. Gomez and the team are ready to help you achieve the smile you desire.

Full Arch Implants
The treatment involves:
- Comprehensive Oral Evaluation
- Cone-Beam 3D CT Scan
- Anesthesia
- 4 or More Implants per Arch
- Immediate Prosthesis
- Final Implant Supported Prosthesis
- Concierge Service: Delivering a life-changing smile
Please note that the fee does not cover any additional treatments that may be necessary in specific situations.

Single Dental Implant
Our comprehensive treatment package includes:
- Detailed Oral Examination
- Advanced Cone-Beam 3D CT Scan
- Anesthesia
- One Implant Per Tooth
- Abutment and Crown
- Personalized Concierge Service for a Transformative Smile
Note: Additional treatments required for specific conditions are not included in the fee.
Schedule A Consultation Today!
Real Reviews
Reviews
Custom Restorations
SEE THE BENEFITS
Procedure Cost
GET OFFER NOW
Smile Gallery
SEE TRANSFORMATIONS


