Every smile has its own unique story
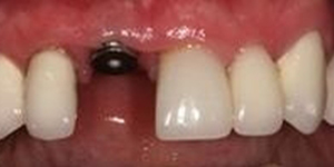
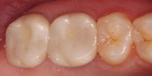
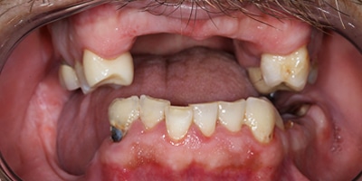
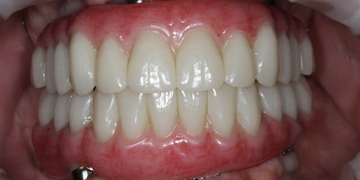
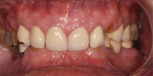
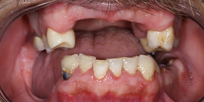
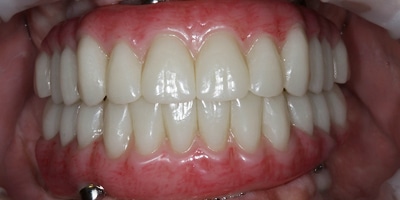
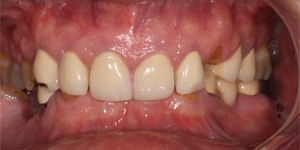
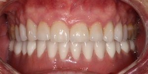
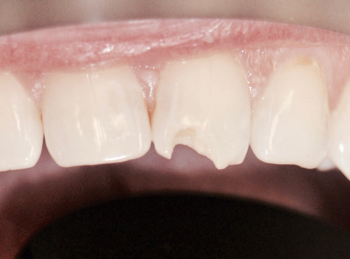
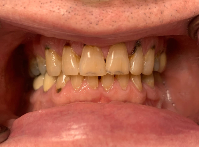
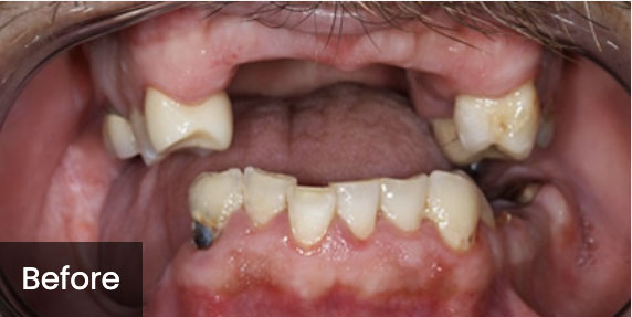
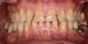
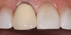
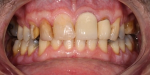
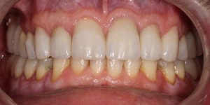
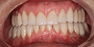
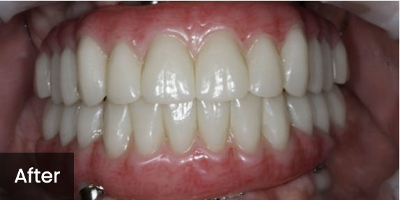
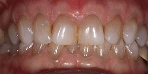
At Nederland Family Dental, we provide a range of options to help you achieve a radiant, healthy smile. Whether you're looking to brighten your teeth for a special occasion like a wedding or reunion, need restorative care for severely damaged teeth, or seek solutions for missing teeth, we’ve got you covered. Trust us to bring your dream smile to life. For a before-and-after comparison, hover over the middle icon. Slide to the right to see the "before" photo and to the left to reveal the patient's stunning results.

Before

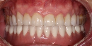
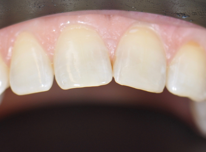
After

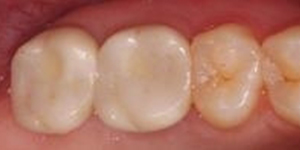
Before

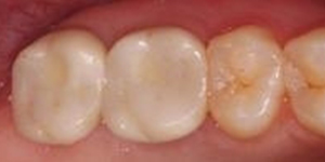
After

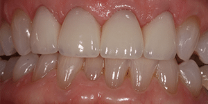
Before

After

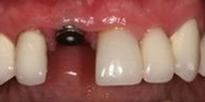
Before

After

Before

After




































